-
반응형

폐결핵 전염성 증상 원인 폐결핵 검사 폐결핵 초기증상 결핵균
소개
폐결핵이란?



폐결핵은 결핵균에 의해 유발되는 감염성 질환으로, 주로 폐에서 발생합니다. 이번 글에서는 폐결핵에 대한 원인, 증상, 전염성, 진단, 그리고 치료에 대해 자세히 다룰 것입니다.
원인
결핵균
폐결핵의 주요 원인은 결핵균에 의한 것입니다. 결핵균은 막대 모양을 가지며, 환경에서 오랫동안 생존할 수 있는 특성을 가집니다. 이 균은 공기를 통해 전파되며, 주로 호흡기를 통해 감염됩니다. 감염자의 기침, 재채기, 말하기 등으로 나오는 비말을 통해 다른 사람에게 전파될 수 있으며, 미세한 입자인 결핵균이 공기 중에 떠다니면 감염될 수 있습니다.
증상
피로감, 기침, 가래 등



폐결핵의 증상은 다양하며 초기에는 피로감, 열감 등의 비특이적인 증상만 나타날 수 있습니다. 그러나 일부 환자에서는 기침, 가래, 체중 감소, 피로감, 기운 부족, 발한 등의 증상이 나타날 수 있습니다. 특히 폐결핵의 경우 폐 부위의 통증과 호흡곤란도 발생할 수 있습니다.
전염성
비말 전염
폐결핵은 감염자의 기침, 재채기, 말하기 등으로 나오는 비말을 통해 다른 사람에게 전파됩니다. 이러한 비말에 결핵균이 섞여 있으면, 다른 사람이 공기 중의 미세한 입자를 흡입하면 감염될 수 있습니다. 또한 결핵균은 음식이나 음료수를 통한 감염도 가능하지만 드물게 발생합니다.
진단
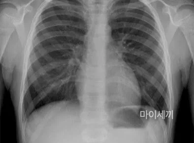
X-ray 검사



폐결핵의 진단은 흉부 X-선 검사를 통해 이루어집니다. 이를 위해 환자의 상태를 확인하고 약물 치료에 사용할 약제를 선택하며, 치료 과정 중에 사용할 약물의 금기 사항을 확인하는 여러 검사가 수행됩니다. 정기적으로 흉부 X-선 사진 촬영과 객담 검사를 반복하여 진행됩니다.
치료
약물 치료
폐결핵의 치료에는 약물 치료와 외과적 치료가 사용됩니다. 약물 치료에서는 항결핵제를 사용하며, 병합 화학 요법을 통해 여러 약물을 동시에 사용하는 것이 원칙입니다. 치료 과정은 최소 6개월 이상의 장기적이고 규칙적인 약물 복용이 필요하며, 치료 중에 나타날 수 있는 부작용에 주의해야 합니다.
결론
예방접종과 마스크
폐결핵은 결핵균에 의해 유발되는 질병으로, 정확한 진단과 규칙적인 치료가 필요합니다. 치료를 완료하지 않거나 치료를 중단할 경우 균이 내성을 갖게 되어 치료가 어려워질 수 있습니다. 결핵을 예방하기 위해서는 결핵 예방접종을 맞거나 감염자와의 접촉을 피하고 감염자의 기침을 막기 위해 마스크 등의 적절한 조치를 취하는 것이 필요합니다.
질문과 답
폐결핵은 어떻게 전파되나요?
폐결핵은 감염자의 기침, 재채기, 말하기 등으로 나오는 비말을 통해 다른 사람에게 전파됩니다.
폐결핵의 주요 증상은 무엇인가요?
폐결핵의 주요 증상에는 기침, 가래, 체중 감소, 피로감, 기운 부족, 발한 등이 포함됩니다.
폐결핵은 치료가 가능한가요?
네, 폐결핵은 치료가 가능하며, 약물 치료와 외과적 치료가 사용됩니다.
폐결핵 치료 과정은 어떻게 진행되나요?
폐결핵 치료는 최소 6개월 이상의 장기적인 약물 복용을 포함하며, 치료 과정 중에는 정기적인 검사가 수행됩니다.
폐결핵을 예방하기 위한 조치는 어떤 것이 있나요?
폐결핵을 예방하기 위해 결핵 예방접종을 맞거나 감염자와의 접촉을 피하고 감염자의 기침을 막는 조치를 취하는 것이 필요합니다.
2023.10.08 - [건강팁] - 기침 심할때 기침 멈추는 방법 기침에 좋은 음식 10가지
기침 심할때 기침 멈추는 방법 기침에 좋은 음식 10가지
기침 심할 때 기침 멈추는 방법 기침에 좋은 음식 10가지 목차 1. 소개 2. 기침 안화 음식 3. 마무리 4. 질문과 답 소개 "일교차가 심하고 기침 심할 때" 일교차가 심하고 건조한 날씨로 인해 면역력
my3meals.co.kr
반응형'질병' 카테고리의 다른 글
마이코플라즈마 폐렴 초기 증상 진단 치료 예방 중국폐렴 어린이집 폐렴 (0) 2023.11.07 요도염 증상 요도염 자연치유 요로염 (0) 2023.11.02 부정맥 종류 원인 진단 치료 예방법 (0) 2023.10.28 빈대 물린자국 베드버그 배드버그 빈대치료 (0) 2023.10.26 노로바이러스장염 증상 자가진단 예방 치료방법 잠복기 (0) 2023.10.24