-
반응형

잠복결핵 폐결핵 초기증상 결핵 증상 전염 검사 치료 약
소개
"잠복결핵, 폐결핵"

안녕하세요, 오늘은 눈에 보이지 않는 숨겨진 위협, 바로 '잠복결핵'과 '폐결핵'에 대해 이야기해보려고 합니다. 잠복결핵은 마치 조용한 바람처럼 무증상으로 다가와 우리 몸속에 자리 잡고 있지만, 언제든지 거센 폭풍으로 변할 수 있는 잠재적인 위험을 가지고 있습니다. 폐결핵은 그 폭풍이 현실화된 것으로, 결핵균이 폐를 침범하여 발생하는 심각한 감염병입니다. 이 두 가지 질환은 건강한 삶을 위협하는 은밀한 적으로, 우리의 면역 체계와 맞서 싸우고 있죠. 이번 글에서는 폐결핵의 원인, 증상, 치료방법, 예방에 대해 자세히 다룰 예정입니다.
원인

원인균: 마이코박테리움 튜베르쿨로시스
- 박테리아의 특징: 마이코박테리움 튜베르쿨로시스는 산성에 강하고, 건조 및 빛에 대한 저항력이 높은 특성을 가지고 있습니다.
- 감염 경로: 주로 공기 중 침방울을 통해 전파되며, 결핵 환자가 기침이나 재채기를 할 때 공기 중으로 분출됩니다.
전파 방식
- 침방울 전파: 감염된 사람이 기침, 재채기, 말하기, 노래 등을 할 때 생성되는 미세 침방울을 통해 공기 중으로 전파됩니다.
- 밀접 접촉: 폐결핵 환자와의 밀접한 접촉은 전파 위험을 증가시킵니다.
위험 요소
- 면역 체계의 약화: HIV/AIDS와 같은 면역 결핍 상태나 면역 억제 약물 복용은 감염 위험을 높입니다.
- 영양 부족: 불충분한 영양 섭취는 면역력을 약화시켜 폐결핵 발병 위험을 증가시킬 수 있습니다.
- 만성 질환: 당뇨병과 같은 만성 질환은 폐결핵 발병 위험을 높입니다.
- 노령: 연령 증가와 함께 면역력이 떨어질 수 있으며, 이는 폐결핵 발병 위험을 증가시킵니다.
- 환경 요인: 결핵균에 대한 노출이 빈번한 지역의 주민이나, 결핵 환자와의 접촉이 잦은 사람들에게서 발병률이 더 높습니다.
증상
폐결핵의 증상
- 지속적인 기침: 결핵의 가장 흔한 증상으로, 2주 이상 지속되는 기침이 특징입니다.
- 혈담: 기침할 때 피가 섞인 가래가 나오는 경우가 있습니다.
- 체중 감소: 설명할 수 없는 체중 감소가 발생할 수 있습니다.
- 발열과 야간 발한: 밤에 심해지는 땀과 발열이 나타날 수 있습니다.
- 피로감: 지속적인 무력감이나 피로를 느낄 수 있습니다.
- 식욕 부진: 평소보다 식욕이 줄어들 수 있습니다.
- 호흡곤란: 폐의 감염이 심각할 경우 호흡 곤란을 겪을 수 있습니다.
- 가슴 통증: 가슴에 통증을 느낄 수 있으며, 특히 깊게 숨을 쉴 때 통증이 심해질 수 있습니다.
잠복결핵의 증상
- 무증상 상태: 잠복결핵은 증상이 나타나지 않는 것이 일반적입니다.
- 감염 상태의 유지: 결핵균에 감염되어 있으나 활성 결핵으로 진행되지 않은 상태입니다.
- 전염성 없음: 잠복 결핵 상태의 사람은 결핵을 다른 사람에게 전파하지 않습니다.
- 진행 위험성: 면역 체계가 약해지면 활성 결핵으로 진행될 위험이 있으며, 이 때 증상이 발현될 수 있습니다.
폐결핵 전염성 증상 원인 폐결핵 검사 폐결핵 초기증상 결핵균
진단 및 치료



진단 방법
- 1. 피부 검사 (Mantoux 테스트 또는 PPD 테스트): 특정 결핵 단백질을 피부에 주입한 후 며칠 동안 피부 반응을 관찰하여 결핵 감염 여부를 판단합니다.
- 2. 혈액 검사 (Interferon-Gamma Release Assays, IGRA): 혈액 내 면역 반응을 측정하여 결핵 감염 여부를 확인합니다.
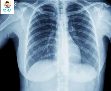
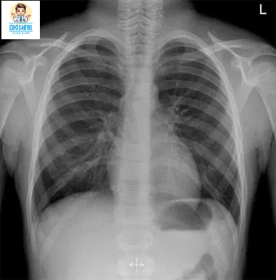
- 3. 흉부 X-레이: 폐 내 이상 소견을 확인하여 결핵 감염의 증거를 찾습니다. 결핵의 전형적인 X-레이 소견에는 폐에 나타나는 음영이나 기타 비정상적인 변화가 포함될 수 있습니다.
- 4. 객담 검사: 기침으로 배출된 객담에서 결핵균의 존재를 직접 검사합니다. 이 방법은 결핵균을 직접 관찰하거나 배양하여 진단하는 가장 확실한 방법 중 하나입니다.
치료 방법
- 1. 표준 치료 요법: 초기 2개월 동안은 이소니아지드, 리팜피신, 피라진아미드, 에탐부톨을 포함하는 4가지 항결핵제를 복용합니다. 이후 4개월 동안은 이소니아지드와 리팜피신을 계속 복용합니다.
- 2. 지속 치료: 초기 치료 이후에는 보통 두 가지 약물로 구성된 요법을 지속하여 총 6개월에서 9개월간 치료를 합니다. 일부 경우에는 환자의 상태나 결핵균의 내성 여부에 따라 치료 기간이 연장될 수 있습니다.
- 3. 직접 관찰 치료 (DOT, Directly Observed Therapy): 치료의 효과를 높이고 약물 내성을 방지하기 위해 의료인이 환자의 약물 복용을 직접 관찰하며 지원하는 방법입니다.
- 4. 내성 결핵의 경우: 만약 환자가 다제내성 결핵(MDR-TB) 또는 광범위 내성 결핵(XDR-TB)에 감염되었다면, 보다 복잡하고 장기간의 치료가 필요하며, 여러 가지 2차 항결핵제를 사용해야 할 수 있습니다.
예방 및 관리
결핵 백신(BCG)
결핵에 대한 가장 효과적인 예방책 중 하나는 생후 빠른 시기에 BCG 백신을 접종하는 것입니다. BCG 백신은 특히 어린이에게서 중증 결핵의 위험을 줄이는 데 도움이 됩니다.
환기와 위생
결핵균은 공기를 통해 전파되므로, 환기가 잘 되고 깨끗한 환경을 유지하는 것이 중요합니다. 집, 학교, 직장 등에서 정기적인 환기를 실시하고, 개인 위생을 철저히 하는 것이 좋습니다.
정기적인 건강 검진
특히 결핵이 유행하는 지역에 살거나, 결핵 환자와 접촉할 가능성이 있는 사람은 정기적으로 건강 검진을 받는 것이 좋습니다. 이를 통해 잠복결핵이 있는지 여부를 확인하고 필요한 경우 예방적 치료를 받을 수 있습니다.
공공 보건 및 교육
결핵에 대한 인식을 높이고, 결핵 환자를 조기에 발견하여 치료를 시작하는 것이 중요합니다. 공공 보건 기관은 결핵 예방 및 치료에 대한 정보를 제공하고, 사회적 인식을 높이는 데 기여할 수 있습니다.
질문과 답
"폐결핵은 어떻게 전염되나요?"
폐결핵은 주로 공기를 통해 전파됩니다. 결핵에 감염된 사람이 기침, 재채기, 말하기, 노래 등을 할 때 발생하는 미세 침방울을 다른 사람이 들이마시면 감염될 수 있습니다.
"폐결핵의 증상에는 어떤 것들이 있나요?"
폐결핵의 주요 증상으로는 지속적인 기침, 기침 시 피를 토함, 체중 감소, 발열과 오한, 야간 발한, 피로감 등이 있습니다.
"폐결핵을 진단하는 방법은 무엇인가요?"
폐결핵 진단은 피부 반응 검사, 혈액 검사, 흉부 X-레이, 객담 검사 등을 통해 이루어집니다.
"폐결핵 치료는 어떻게 하나요?"
폐결핵 치료에는 일반적으로 여러 가지 항결핵제를 복합적으로 사용합니다. 치료 기간은 최소 6개월 이상이며, 의사의 지시에 따라 약물을 꾸준히 복용해야 합니다.
"폐결핵은 예방할 수 있나요?"
예방 가능합니다. BCG 백신 접종, 좋은 환기 시스템, 결핵 환자와의 접촉을 피하고, 정기적인 건강 검진을 받는 것 등이 폐결핵 예방에 도움이 됩니다.
"잠복결핵과 폐결핵의 차이점은 무엇인가요?"
잠복결핵은 결핵균에 감염되었지만 활성화되지 않아 증상이 나타나지 않는 상태입니다. 반면, 폐결핵은 결핵균이 활성화되어 증상이 나타나는 상태를 말합니다. 잠복결핵은 전염되지 않지만, 폐결핵은 전염됩니다.
2023.09.13 - [의약품] - 30~40대 일본 안약 추천 눈 영양제 가격 내돈내산
30~40대 일본 안약 추천 눈 영양제 가격 내돈내산
30~40대 일본 안약 추천 눈 영양제 눈 떨림 영양제 내돈내산가격 목차 1. 소개 2. 주요 성분 및 효능 3. 사용상의 주의사항 4. 가격 및 파는 곳 5. 복용 방법 소개 "피로한 눈에 필요한 눈 영양제" 눈은
my3meals.co.kr
반응형'질병' 카테고리의 다른 글
흑색종 손톱에검은세로줄 원인 증상 치료 (0) 2024.02.12 슬픈 젖꾹지 증후군이 뭐지? (D-MER) 슬픈 젖꾹지 증후군 원인 뜻 D-MER 증후군 치료법 (0) 2024.02.12 남자 여자 왼쪽 오른쪽 아래배 통증 배꼽아랫배통증 대장 게실염 증상 치료 예방 (0) 2024.02.10 항문소양증 항문 가려움 치료방법 원인 연고 치료 좌욕 (0) 2024.01.28 입술 포진 입술 물집 구순포진 약 입술 헤르페스 1형 원인 증상 연고 치료 (0) 2024.01.28